Explaining the misunderstandings of invisible orthodontics

“Invisible correction can only do simple cases.”
Actually, invisible orthodontics can treat nearly all common teeth-straightening issues, from simple to complex, such as spacing, crowding, crossbite, overbite, deep bite, etc.
Case Study
This is a mild skeletal Class III case, which requires lower molar distalization combined with upper and lower anterior retraction. Due to the large molar distalization, this case requires significant anchorage, which makes correction more difficult.

In this case, the VinciSmile invisible orthodontic technique is fully applied throughout the treatment, combined with implant anchorage. After treatment, the molar relationship becomes neutral, anterior overbite and overjet return to normal, midlines are aligned, intercuspal occlusion relationship is corrected, and the ideal treatment outcome is achieved.
“There is an age limit for invisible correction. Older or younger people can't do invisible correction.”

There is no exact age limit for invisible orthodontic treatment. Typically, the only requirements dental professionals have is healthy teeth and gums.
Case Study
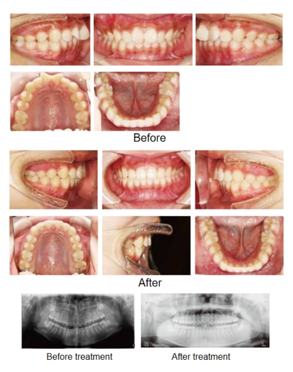
The patient in this case is 13 years old with misaligned teeth. Malocclusion developed after the mixed dentition stage, and the patient has never undergone any treatment.

The VinciSmile invisible orthodontic technique is applied for upper molar distalization with anchorage support, and the distalization spaces are utilized for alignment and retraction. After treatment, the bilateral canines attain a neutral relationship with the premolars, and the overjet is corrected to within a normal range. The Spee's curve has been rectified, and the anterior overbite is restored to normal. Additionally, the rotation of the upper central incisors has been corrected.
“There are no attachments bonded to the tooth surface during invisible treatment.”
Compared with the traditional method, invisible orthodontics doesn't use brackets and wires. However, in many cases there are still "attachments" that must be bonded to the teeth to achieve a successful outcome. Some of them are used to assist the movement of teeth, while others are used for orthodontic retention.
Case Study
The chief complaint of this case is crowded teeth. Our VinciSmile treatment plan designs to extract teeth 14 and 24, mesialize posterior teeth to correct it to Class II relationship, retract upper anterior teeth to correct overjet relationship and add IPR. During the process, uses vertical rectangular attachment to assist teeth retention, dental-root control and mesialization.

Through 24 months of invisible orthodontic treatment, the following results are achieved:
1. Straightened and aligned upper and lower teeth;
2. Molars have been corrected into full distoocclusion;
3. Normal overbite and overjet.

English
日本語
français
Deutsch
Español
русский
português