Shandong Huge Dental Material Corporation
Shandong Huge Dental Material Corporation
marketing@hugedental.com

Digital Guided Aesthetic Veneer Restoration

微信截图_20240918135041_副本.png



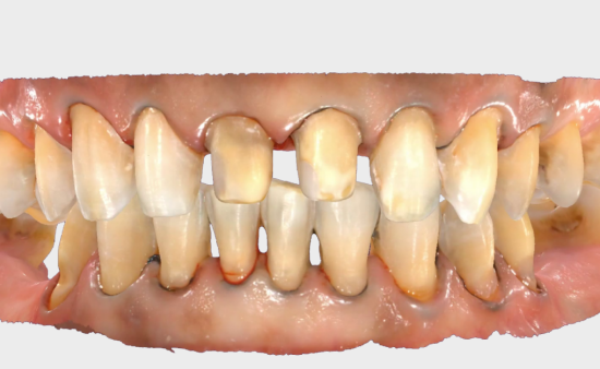
A Digital Veneer offers an ideal dental treatment for individuals with broken, chipped, short, or discolored teeth, as well as those seeking a flawless smile without undergoing lengthy and complex orthodontic procedures.
 

Today, based on the actual case treatment process, we will introduce you to the HUGE Digital Veneer Solution.



Step 1: Data Collection


  • For ceramic veneers, it is advisable to use minimal tooth structure reduction with a minimally invasive approach.


812123b0-ff5f-8722-a006-b54362345bb4_副本.png



  • A digitally guided veneer preparation workflow ensures precise tooth reduction by using CAD software to calculate the minimal thickness needed for the final veneers.


5a1b3861-acf8-d0b3-135a-136748cad36d.png




i-Vinci Smart Intraoral Scanner 


Accurate, Precise, and Fast


f92e688b-2b25-33d6-dca8-e37bf4553932_副本.png

Accuracy ≤ 7μm

Precision ≤ 5μm



Step 2: Computer Aided Design

  • During veneers designing, import the mock-up data to ensure the final prosthesis meets the patient’s expectations.


a44b1f91-a06f-af7a-af85-746f7b3716b8_副本.png




Step 3: Veneers Manufacturing and Model Printing


  • To obtain a resin cast with a 3D printer

  • Manufacturing the veneers by the milling machine



8486b885-f23e-1d1d-851c-a011d6d21329_副本.png



NOBILCAM 3D Printer

Delivers speed, accuracy, and success. The 9.25-inch 6K black-and-white LCD screen can handle full upper and lower arches for aligners, study models, dentures, splints, and more.


c587a9e4-9edc-182f-1589-3f357619513c_副本.png


NOBILCAM-5X Milling Machine

NOBILCAM-5X is a 5-axis dry cutting machine with micron-level precision and high reliability. Paired with solid carbide NOBILCAM Milling Burs, it's perfect for milling Zirconia, Titanium, Lithium Disilicate, PMMA and other resins.


4ef37a13-006d-9ad4-816b-1da4b95839ac.png



Step 4: Veneer Cementation


New Launch: TopCEM Veneer System


For permanent cementation of veneer made from materials of porcelain/ceramic and composites.


06a01440-cd1a-6cb2-51a4-70de9348da5c_副本.png



TopCEM-Veneer Light Cure Veneer Cement 


c68143a2-de9d-a1b6-1cb8-d630ddd35fa4_副本.png



1. Impressive physical properties



a9e39ac8-eb98-525a-cb8a-afa76ac85254.png


Bonding strength to Glass ceramic with total-etch technique: 36.8Mpa

* Data from HUGE Lab




2. Excellent Color Stability


0b6f4f1a-aefd-e6e9-2bf8-eb0a1cb8151a_副本.png



HugeBond Universal FliPro Light Cure Dental Adhesive


745ab188-70c1-c2e3-cbd3-1bb8eb9ab503.jpg


1. 8th generation bonding agent with universal applications


2. Contains MDP monomer which enhances chemical adhesion to direct andindirect restorations.


bd70d3c6-1b98-b602-62d3-bb8b00731f5d_副本.png


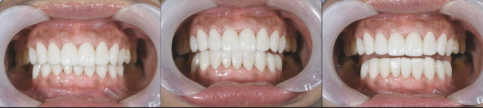
After the restorations, a beneficial intraoral functionality was observed.


21695f7c-3001-97d1-51a3-ddc12c1954c9_副本.png